患者様のご希望を考慮した装置と治療法の選択やライフスタイルに見合った治療法をご提案させていただきます。
下記の料金は目安としてご参考ください。お口の状態を見させていただければ費用や期間も詳細にお伝えできると思います。
決して高額な治療法を無理におすすめしたり、ドクター本意に治療法をご提案することはいたしませんのでご安心ください。
まずはご相談だけでも結構ですので、ご来院ください。
| メニュー | 料金(税込) |
| 相談料 | 0円 |
| 検査料 | 11,000~44,000円 |
| 診断料 | 33,000円 |
| 処置料 | 5,500円 |
| 観察料 | 3,300円 |
| メニュー | 料金(税込) |
| マウスピース型矯正装置 |
330,000~1,210,000円 マウスピース型矯正装置についてはコチラ |
| 表側矯正 |
660,000~990,000円 表側矯正についてはコチラ
With マスクの時代に始める矯正歯科は表側矯正も選択肢として魅力!! *その後、見えない矯正に移行することも可能です。 |
| 部分矯正 | 66,000~550,000円 |
| 舌側矯正(上下顎) |
1,320,000~1,650,000円
舌側矯正についてはコチラ |
| 舌側矯正(上顎のみ) | 1,100,000~1,430,000円 |
*お支払いに関しましては院内分割を実施しております。
(治療期間内での分割であれば無金利です)
With マスク時代に始める矯正歯科は表側矯正も魅力的!
*マスクなしの生活様式に戻った際には治療途中から『見えない・目立たない矯正装置』(リンガルブラケット・マウスピース型矯正装置)へ移行可能です。
*移行した際の装置代金は別途ご負担いただきます。
*詳細はカウンセリング時にご説明させていただきます。
お気軽にご質問ください
*お支払いに関しましては院内分割を実施しております。
(治療期間内での分割であれば無金利です)
治療期間
症状によりますが部分矯正では3か月~6か月程度
全顎矯正治療では1年~2年程度
通院回数
治療の経過観察、処置のためにおよそ1か月に1度の頻度でご来院いただきます。
進行度合いによっては2か月に1度へと移行してまいります。
*矯正歯科治療は公的健康保険の対象外の自由(自費)診療となります。くれぐれもご留意ください。
| メニュー | 料金(税込) |
| ミュゼホワイトニング1本 | 825円~ |
| 前歯20本(5~5)1回 | 16,500円~ |
| メニュー |
料金 (税込) |
備考 |
| クリーニング | 5,500円~ | 汚れを取りホワイトニングの効果を強める。 |
| トリートメント | 5,500円~ | 歯の表面をコーティングし着色・汚れを付きにくくする。 |
| ミュゼオフィスホワイトニング | 27,500円~ | 前歯20本(5~5)+クリーニング+トリートメント |
| メニュー | 料金(税込) |
|
3回コース 前歯20本(5~5) |
44,000円~ |
| 5回コース | 71,500円~ |
| 10回コース | 138,600円~ |
| やり放題コース(6ヶ月間) | 244,200円~ |
矯正歯科治療は医療費控除の対象となっており、ご自身およびご家族(生計を1つにするする1世帯)が1月1日〜12月31日の1年間に支払った医療費の総額が10万以上の場合、申請をすことで所得控除・税金の還付を受けることができます。
ただし、所得控除の最高限度額は200万となります。
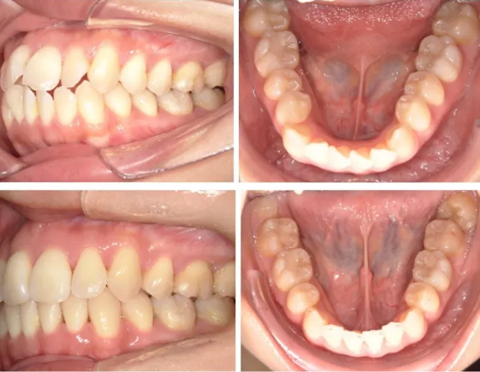
| 上下顎前突におけるハイブリッド矯正治療の症例 | |
| 主訴 | 歯のガタガタ、噛み合わせが悪い、口元が出ている |
| 診断 | 上下顎前突と伴う不正咬合、上下顎前歯の唇側傾斜、前歯部叢生(歯の凸凹) |
| 年齢 | 女性・20代 |
| 使用装置 | 表側ワイヤー矯正と院内制作マウスピースによるハイブリッド矯正 |
| 抜歯 | あり |
| 治療期間 | 約2年 |
| 治療費 | 957,000円(税込)(検査費、診断費、通院毎の調整費は別途) |
| リスク・副作用 | 歯根吸収、歯肉退縮、カリエス(虫歯)、歯周病、後戻り等の可能性があります。 |
| 骨格性下顎前突症におけるハイブリッド矯正治療の症例 | |
| 主訴 | 歯列のガタガタ、歯の隙間、前歯の真ん中のずれ、顎が少し音が鳴る |
| 診断 | 上顎骨の劣成長に伴う骨格性下顎前突症、上下歯列の狭小、叢生、上下正中の不一致 |
| 年齢 | 男性・20代 |
| 使用装置 | 表側ワイヤー矯正と院内制作マウスピースによるハイブリッド矯正 |
| 抜歯 | あり |
| 治療期間 | 約3年 |
| 治療費 | 880,000円(税込) (検査費、診断費、通院毎の調整費は別途) |
| リスク・副作用 | 歯根吸収、歯肉退縮、カリエス(虫歯)、歯周病、後戻り等の可能性があります。 |
| 叢生におけるハーフリンガル矯正治療の症例 | |
| 主訴 | 歯磨きが難しい、虫歯になりやすい、歯列のガタガタ、口元の突出 |
| 診断 | 叢生を伴う不正咬合、正中の偏位、上下唇の突出 |
| 年齢 | 女性・20代 |
| 使用装置 | ハーフリンガル矯正(上顎が舌側矯正、下顎が表側矯正) |
| 抜歯 | あり |
| 治療期間 | 約2年 |
| 治療費 | 1,150,000円(税込) (検査費、診断費、通院毎の調整費は別途) |
| リスク・副作用 | 歯根吸収、歯肉退縮、カリエス(虫歯)、歯周病、後戻り等の可能性があります。 |
*未来の歯並びとお顔立ち、自信の持てる笑顔に向けて!相談費用はかかりません。治療の強要もいたしません。お気軽にご相談ください。
信頼される安心な治療の為に
※△土日は隔週診療、祝・土・日の午後の診療は18:00までとなります。